Herkese merhaba değerli forum üyeleri. Bugün naçizane, amatörce yaptığım bir gözlemi rehberleştirmek istedim. Bu rehberde; ölü bir un kurdu böceğinin morfolojik yapısını ve hemolenfinin mikroskop altında incelenmesini göreceğiz.
Rehberin içerisinde neler olacak?
1-Un kurdu nedir?
2-Kullanılan ekipmanlar.
3-Numune hazırlanması.
4-İnceleme ve bulgular.
5-Teknik bilgiler ve rehberin amacı.
1-Un Kurdu Nedir?
Dış iskeleti kitin adı verilen sert bir maddeden oluşur. Tüm holometabolik (tam metamorfoz) böcekler gibi Tenebrio molitor da dört yaşam evresinden geçer: Yumurta, larva, pupa ve yetişkin. Larvalar tipik olarak yaklaşık 2,5 cm veya daha uzundur. Yetişkinler ise genellikle 1,25 ila 1,8 cm uzunluğundadır.
T. molitor yetişkin olarak koyu kahverengi veya siyahtır; larvaları 3,2 cm, yetişkinleri ise 1,9 cm uzunluğa kadar ulaşabilir.
Sarı un kurdu böceği, karın boyunca eşit olarak bölünmüş ve uzanan doğrusal oluklar nedeniyle diğer böceklerden ayırt edilebilir. Böceğin arka bacaklarında sadece dört tarsal segmenti vardır. Tenebrio molitor'a benzer büyüklükteki çoğu toprak böceğinin beş tarsal segmenti vardır.
Genellikle siyah un kurdu böceği olan T. obscurus ile karıştırılan bu iki tür, boyut ve şekil bakımından önemli farklılıklarla birbirinden ayrılır. Yetişkin siyah un kurdu böceğinin karnı daha yuvarlak ve sivri bir uçla sonlanırken; sarı un kurdu böceğinin karnı daha dikdörtgen ve küt uçludur. T. molitor'un larvaları, T. obscurus'unkilerden daha açık renklidir.
2-Kullanılan Ekipmanlar:
Bu çalışma, optik ışık mikroskobu ile yapılmıştır. Büyütme kapasitesi olarak objektifler (4x, 10x, 40x) ve okülerler (10x, 40x) olmak üzere toplam 6 aşamalı büyütme kombinasyonuna sahiptir:
4x10 = 40x
10x10 = 100x
40x10 = 400x
4x40 = 160x
10x40 = 400x
40x40 = 1600x
Araştırmalarda kullanılan görseller; 40x, 400x ve 1600x olmak üzere 3 farklı büyütme kapasitesinde çekilmiştir.
Kullanılan Diğer Aparatlar:
Bisturi (Neşter)
Pens (Cımbız)
Diseksiyon iğnesi
Lam ve lamel
3-Numune Hazırlanması:
Dış morfolojik Yapı.


Böceğin vücudu üç ana bölümden oluşur: Baş, Toraks (Göğüs) ve Abdomen (Karın).
Baş:
Antenler:
Parçalı (segmentli) bir yapıdadır, çevreyi algılamasını sağlar. Genellikle sürekli aktiftir.
Ağız Yapısı:
Çiğneyici ağız tipine sahiptir.
Toraks:
Bacaklar:
Toplam 6 adettir. Uç kısımlarında yüzeylere tutunmasını sağlayan küçük kancalar bulunur.
Elytra (Sert Kanatlar):
Sert kabuk yapısı ön kanatlardır. Altındaki hassas uçuş kanatlarını korurlar. Üzerinde boyuna çizgiler (striae) bulunur.
Abdomen (Karın):
Elytra'nın altında kalan, segmentli bölgedir. Boşaltım ve üreme sistemleri burada yer alır.
Taksonomik Sınıflandırılması:
Kingdom: Animalia
Phylum: Arthropoda
Class: Insecta
Order: Coleoptera
Suborder: Polyphaga
Infraorder: Cucujiformia
Family: Tenebrionidae
Genus: Tenebrio
Species: T. molitor


Dış kanat (elytra):
Yoğun kitin yapısına sahiptir. Alt tabakada görülen ince uçuş kanatlarını dış etmenlere karşı korur ve böceğin uçması gerektiğinde bu öncü kanatlar açılarak uçuş kanatlarını serbest bırakır. Bu sayede böcek aktif olarak yer değiştirebilir yada avcıdan kaçabilir.
Alae:

Dış kanatın altında konumlanmıştır. Arka kanat olarakta adlandırılabilir. Bu kanatlar "membranöz" yani zar yapısındadır. Tıpkı bir sineğin veya arının kanadı gibi damarlı ve şeffaf bir dokuya sahiptir. Böcek uçmadığı zamanlarda bu kanatlar, elytra altına gizlenir. Mikroskop altında incelendiğinde, kanat boyunca uzanan koyu renkli çizgiler görülebilir. Bunlar kanat damarlarıdır. Bu damarların dizilimi, böcek türlerini birbirinden ayırt etmek için kullanılan önemli bir yapıdır.
Dorsal Görünüm:

Elytra ve arka kanatlar söküldüğünde ortaya çıkan bu dorsal yapı böceği dış etmenlere karşı korayacak hassas bir yapıdır. Burada:
Mesonotum ve Metanotum:
Kanatların hemen bağlandığı göğüs segmentlerinin sırt kısmıdır.
Tergitler:
Arka kanatların altında kalan, karın bölgesinin üst kısmını örten yumuşakça veya yarı sert plakalardır. Normalde bu kısım dışarıdan görünmez. Elytra bu bölgeyi bir zırh gibi örterek nem kaybını önler.
Scutellum:
Elytraların (sert kanatların) birleştiği yerin en başında, boyun ile kanatlar arasında kalan küçük, genellikle üçgen şeklindeki yapıdır.
İç Sıvı (hemolenf):
Hemolenf; böcekler, örümcekler ve kabuklular gibi açık dolaşım sistemine sahip canlılarda bulunan sıvıdır. İnsanlardaki kan ve lenf sıvısının birleşimi gibi düşünülebilir.
Görevleri ve Yapısı:
İnsan kanı kırmızıdır çünkü oksijen taşıyan hemoglobin içerir. Ayırca insandaki demir kana kırmızı rengini verir. Böceklerde ise oksijen, kanla değil; vücudun yanlarındaki deliklerden (stigmalar) giren trake adı verilen borularla doğrudan dokulara taşınır. Bu yüzden hemolenf genellikle şeffaf, sarımsı veya açık yeşildir. Sindirim sisteminden alınan besinleri (şekerler, proteinler, yağlar) organlara taşır. Bir nevi vücut içi lojistik sistemidir. Sıvının içinde hemosit adı verilen hücreler vardır. Bunlar, böceğin vücuduna giren zararlı bakterileri yutar veya yaralanma olduğunda sıvının pıhtılaşmasını sağlar.

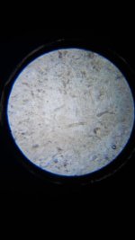
4-İnceleme ve Bulgular:
Burada göreceklerimiz mikroskop altı fotoğraflardır. Alt ışık ile cam lam-lamel üzerine konulmuş hemolenfinin incelenmesinden bulunan bulgulardır.
Not: Görsellerdeki yapıların tam netliği olmadığı için bazı görsellerde net cevap verilemez. Fakat genel olarak tahmin, görsel benzerliği ve hemolenf içerisi maddelere bakılarak rehber yazısı oluşturulmuştur.

Vücut boşluğundan alınan hemolenf örneğinde, açık dolaşım sisteminin tipik bir özelliği olarak organları çevreleyen serbest sıvı yapısı ve bu sıvının havayla teması sonucu oluşan pıhtılaşma (melanizasyon) reaksiyonunun tespit edildiği düşünülmektedir.

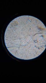
hemolenf sıvısı içerisinde sadece hücresel yapıların değil, aynı zamanda canlının solunum sistemine ait trake kalıntılarının da bulunduğu düşünülmektedir. Bu yapılar normal şartlarda hemlonefte dağılmaz fakat diseksiyon sırasında hemonenfe karışabilir.

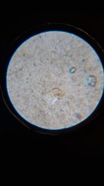
Dairesel alanın merkezine yakın, daha koyu ve yoğunlaşmış olan bölge, büyük ihtimalle diseksiyon sırasında zarar görmüş bir doku kalıntısını (örneğin, bir kas lifi parçası veya sindirim sistemi kalıntısı) gösterdiği düşünülmektedir.

pürüzlü zemin, hemolenfin içindeki plazma proteinlerini temsil eder. Eğer bu bir su damlası olsaydı, arka plan tamamen pürüzsüz ve bembeyaz olurdu. Bu dolu görüntü, numunenin organik bir sıvı olduğunu büyük ölçüde düşündürmektedir.

büyütmede yapılan gözlemlerde, un kurdu böceğinin solunum sistemine ait karakteristik trake yapısı net bir şekilde fotoğraflanmıştır. Yapı üzerinde görülen spiral halkalar (taenidia), borunun esnekliğini ve dayanıklılığını sağlayan kitin takviyeleridir. Bu gözlem, böceklerde dolaşım sıvısının (hemolenf) solunum gazlarını taşımadığını, solunumun trakeal sistem üzerinden bağımsız bir ağ ile yürütüldüğünü anatomik olarak doğrulamaktadır.

Yapılan mikroskobik analizlerde, hemolenf sıvısı içerisinde serbest yüzen hemositlerin yanı sıra, diseksiyon esnasında ayrılan trakeal sistem parçaları da detaylıca incelenmiştir.
Kanat yapıları ve Alae:

Kanat Mikro-Yapısı:
Alae incelemesinde, kanat membranını destekleyen ana damar hattı 1600x büyütmede karakterize edilmiştir. Damarın, kanadın diğer bölgelerine kıyasla daha yoğun bir kitin tabakasına sahip olduğu ve yapısal bir omurga görevi gördüğü saptanmıştır. Bu damarların etrafındaki koyuluk, o bölgede kitin birikiminin daha fazla olduğunu gösterir. Zar yüzeyindeki granüllü yapı, kanadın hidrofobik (su itici) özelliklerine işaret etmektedir.

Alae'nin yüzey membranı 1600x büyütmede karakterize edilmiştir. Yapılan detaylı incelemede, kanat yüzeyinin binlerce, muntazam dizilmiş mikro-tüy (microtrichia) ile kaplı olduğu saptanmıştır. Bu yoğun tüy yapısının, un kurdu böceğinin uçuş esnasında aerodinamik performansını artırdığı ve kanadın su tutmamasını (hidrofobik) sağladığı değerlendirilmektedir.

Anten Anatomisi (Duyusal Analiz):
Baş bölgesinden alınan kesitte, karakteristik moniliform anten yapısı gözlemlenmiştir. Toplam 11 segmentten oluşan bu yapının, canlının çevresindeki kimyasal uyaranları (besin kokusu, feromonlar) ve fiziksel engelleri algılamasında temel rol oynadığı bilinmektedir. Yoğun kitin yapısı, antenin dış etkilere karşı dayanıklılığını artırırken, boğumlu yapısı maksimum hareket kabiliyeti sunmaktadır.
5-Teknik bilgiler ve rehberin amacı.
Bu bilimsel inceleme, hobi ve laboratuvar dünyasının temel canlılarından biri olan Un Kurdu Böceği’nin (ergin evre) çıplak gözle görülemeyen biyolojik sırlarını açığa çıkarmak amacıyla hazırlanmıştır. Çalışmanın ana odağı, canlının makro düzeydeki sert ve dayanıklı görüntüsünün altında yatan, 1600x büyütmeye kadar ulaşan mikroskobik doku bütünlüğünü belgelemektir.
Analizler sırasında canlının sırt tarafı (Dorsal) ve karın tarafı (Ventral) baz alınarak yön tayini yapılmıştır. Çalışmanın temelinde ortaya çıkan bulgularda ve görülen yapılardan dolayı yapılabilecek çıkarımlar şunlardır:
Trakeal Solunum Stratejisi:
Mikroskop altında karakteristik spiral halkalarıyla (taenidia) gözlemlenen trake boruları, böceğin aktif bir solunum sistemine sahip olduğunu kanıtlar. Bu yapısal destek, oksijenin hemolenf sıvısından bağımsız olarak doğrudan dokulara taşınmasını sağlar.
Kanat Mühendisliği ve Hidrofobik Yüzey:
Alae (arka kanat) üzerinde saptanan yoğun mikro-tüy (microtrichia) dizilimi, canlının sadece uçuş aerodinamiğini değil, aynı zamanda hidrofobik bir yüzey geliştirdiğini gösterir. Bu mikroskobik mimari, kanatların nemden dolayı ağırlaşmasını önleyen evrimsel bir adaptasyondur.
Hemolenf Dinamiği ve Bağışıklık:
Sıvı içerisinde gözlemlenen ve havayla temas sonrası yoğunlaşan koyu bölgeler, böceğin melanizasyon (melanin pigmentinin fazlaca birikmesi sonucu oluşan siyahlaşma) kapasitesini ortaya koyar. Bu durum, hemolenfin sadece bir besin taşıyıcı değil, aynı zamanda yaralanmalara karşı hızla pıhtılaşan ve patojenleri hapseden aktif bir savunma mekanizması olduğunu doğrular.
Rehbere eklenmeyen ve tanımlanamayan hemolenf sıvıları:




Not: Bu yapılarda görülen bazı yuvarlak yapılar hava kabarcıklarıdır.
Bu rehberin, hem hobiye yeni başlayanlar hem de böcek anatomisine ilgi duyan forum üyeleri için faydalı bir kaynak olmasını umuyorum. Vakit ayırıp incelediğiniz için teşekkür eder, keyifli gözlemler dilerim...
KAYNAKÇA:
Çekimler bizzat tarafıma ait olup bilgiler kaynaklardan toplanmıştır.
Rehberin içerisinde neler olacak?
1-Un kurdu nedir?
2-Kullanılan ekipmanlar.
3-Numune hazırlanması.
4-İnceleme ve bulgular.
5-Teknik bilgiler ve rehberin amacı.
1-Un Kurdu Nedir?
Dış iskeleti kitin adı verilen sert bir maddeden oluşur. Tüm holometabolik (tam metamorfoz) böcekler gibi Tenebrio molitor da dört yaşam evresinden geçer: Yumurta, larva, pupa ve yetişkin. Larvalar tipik olarak yaklaşık 2,5 cm veya daha uzundur. Yetişkinler ise genellikle 1,25 ila 1,8 cm uzunluğundadır.
T. molitor yetişkin olarak koyu kahverengi veya siyahtır; larvaları 3,2 cm, yetişkinleri ise 1,9 cm uzunluğa kadar ulaşabilir.
Sarı un kurdu böceği, karın boyunca eşit olarak bölünmüş ve uzanan doğrusal oluklar nedeniyle diğer böceklerden ayırt edilebilir. Böceğin arka bacaklarında sadece dört tarsal segmenti vardır. Tenebrio molitor'a benzer büyüklükteki çoğu toprak böceğinin beş tarsal segmenti vardır.
Genellikle siyah un kurdu böceği olan T. obscurus ile karıştırılan bu iki tür, boyut ve şekil bakımından önemli farklılıklarla birbirinden ayrılır. Yetişkin siyah un kurdu böceğinin karnı daha yuvarlak ve sivri bir uçla sonlanırken; sarı un kurdu böceğinin karnı daha dikdörtgen ve küt uçludur. T. molitor'un larvaları, T. obscurus'unkilerden daha açık renklidir.
2-Kullanılan Ekipmanlar:
Bu çalışma, optik ışık mikroskobu ile yapılmıştır. Büyütme kapasitesi olarak objektifler (4x, 10x, 40x) ve okülerler (10x, 40x) olmak üzere toplam 6 aşamalı büyütme kombinasyonuna sahiptir:
4x10 = 40x
10x10 = 100x
40x10 = 400x
4x40 = 160x
10x40 = 400x
40x40 = 1600x
Araştırmalarda kullanılan görseller; 40x, 400x ve 1600x olmak üzere 3 farklı büyütme kapasitesinde çekilmiştir.
Kullanılan Diğer Aparatlar:
Bisturi (Neşter)
Pens (Cımbız)
Diseksiyon iğnesi
Lam ve lamel
3-Numune Hazırlanması:
Dış morfolojik Yapı.


Böceğin vücudu üç ana bölümden oluşur: Baş, Toraks (Göğüs) ve Abdomen (Karın).
Baş:
Antenler:
Parçalı (segmentli) bir yapıdadır, çevreyi algılamasını sağlar. Genellikle sürekli aktiftir.
Ağız Yapısı:
Çiğneyici ağız tipine sahiptir.
Toraks:
Bacaklar:
Toplam 6 adettir. Uç kısımlarında yüzeylere tutunmasını sağlayan küçük kancalar bulunur.
Elytra (Sert Kanatlar):
Sert kabuk yapısı ön kanatlardır. Altındaki hassas uçuş kanatlarını korurlar. Üzerinde boyuna çizgiler (striae) bulunur.
Abdomen (Karın):
Elytra'nın altında kalan, segmentli bölgedir. Boşaltım ve üreme sistemleri burada yer alır.
Taksonomik Sınıflandırılması:
Kingdom: Animalia
Phylum: Arthropoda
Class: Insecta
Order: Coleoptera
Suborder: Polyphaga
Infraorder: Cucujiformia
Family: Tenebrionidae
Genus: Tenebrio
Species: T. molitor


Dış kanat (elytra):
Yoğun kitin yapısına sahiptir. Alt tabakada görülen ince uçuş kanatlarını dış etmenlere karşı korur ve böceğin uçması gerektiğinde bu öncü kanatlar açılarak uçuş kanatlarını serbest bırakır. Bu sayede böcek aktif olarak yer değiştirebilir yada avcıdan kaçabilir.
Alae:

Dış kanatın altında konumlanmıştır. Arka kanat olarakta adlandırılabilir. Bu kanatlar "membranöz" yani zar yapısındadır. Tıpkı bir sineğin veya arının kanadı gibi damarlı ve şeffaf bir dokuya sahiptir. Böcek uçmadığı zamanlarda bu kanatlar, elytra altına gizlenir. Mikroskop altında incelendiğinde, kanat boyunca uzanan koyu renkli çizgiler görülebilir. Bunlar kanat damarlarıdır. Bu damarların dizilimi, böcek türlerini birbirinden ayırt etmek için kullanılan önemli bir yapıdır.
Dorsal Görünüm:

Elytra ve arka kanatlar söküldüğünde ortaya çıkan bu dorsal yapı böceği dış etmenlere karşı korayacak hassas bir yapıdır. Burada:
Mesonotum ve Metanotum:
Kanatların hemen bağlandığı göğüs segmentlerinin sırt kısmıdır.
Tergitler:
Arka kanatların altında kalan, karın bölgesinin üst kısmını örten yumuşakça veya yarı sert plakalardır. Normalde bu kısım dışarıdan görünmez. Elytra bu bölgeyi bir zırh gibi örterek nem kaybını önler.
Scutellum:
Elytraların (sert kanatların) birleştiği yerin en başında, boyun ile kanatlar arasında kalan küçük, genellikle üçgen şeklindeki yapıdır.
İç Sıvı (hemolenf):
Hemolenf; böcekler, örümcekler ve kabuklular gibi açık dolaşım sistemine sahip canlılarda bulunan sıvıdır. İnsanlardaki kan ve lenf sıvısının birleşimi gibi düşünülebilir.
Görevleri ve Yapısı:
İnsan kanı kırmızıdır çünkü oksijen taşıyan hemoglobin içerir. Ayırca insandaki demir kana kırmızı rengini verir. Böceklerde ise oksijen, kanla değil; vücudun yanlarındaki deliklerden (stigmalar) giren trake adı verilen borularla doğrudan dokulara taşınır. Bu yüzden hemolenf genellikle şeffaf, sarımsı veya açık yeşildir. Sindirim sisteminden alınan besinleri (şekerler, proteinler, yağlar) organlara taşır. Bir nevi vücut içi lojistik sistemidir. Sıvının içinde hemosit adı verilen hücreler vardır. Bunlar, böceğin vücuduna giren zararlı bakterileri yutar veya yaralanma olduğunda sıvının pıhtılaşmasını sağlar.

4-İnceleme ve Bulgular:
Burada göreceklerimiz mikroskop altı fotoğraflardır. Alt ışık ile cam lam-lamel üzerine konulmuş hemolenfinin incelenmesinden bulunan bulgulardır.
Not: Görsellerdeki yapıların tam netliği olmadığı için bazı görsellerde net cevap verilemez. Fakat genel olarak tahmin, görsel benzerliği ve hemolenf içerisi maddelere bakılarak rehber yazısı oluşturulmuştur.

Vücut boşluğundan alınan hemolenf örneğinde, açık dolaşım sisteminin tipik bir özelliği olarak organları çevreleyen serbest sıvı yapısı ve bu sıvının havayla teması sonucu oluşan pıhtılaşma (melanizasyon) reaksiyonunun tespit edildiği düşünülmektedir.

hemolenf sıvısı içerisinde sadece hücresel yapıların değil, aynı zamanda canlının solunum sistemine ait trake kalıntılarının da bulunduğu düşünülmektedir. Bu yapılar normal şartlarda hemlonefte dağılmaz fakat diseksiyon sırasında hemonenfe karışabilir.

Dairesel alanın merkezine yakın, daha koyu ve yoğunlaşmış olan bölge, büyük ihtimalle diseksiyon sırasında zarar görmüş bir doku kalıntısını (örneğin, bir kas lifi parçası veya sindirim sistemi kalıntısı) gösterdiği düşünülmektedir.

pürüzlü zemin, hemolenfin içindeki plazma proteinlerini temsil eder. Eğer bu bir su damlası olsaydı, arka plan tamamen pürüzsüz ve bembeyaz olurdu. Bu dolu görüntü, numunenin organik bir sıvı olduğunu büyük ölçüde düşündürmektedir.

büyütmede yapılan gözlemlerde, un kurdu böceğinin solunum sistemine ait karakteristik trake yapısı net bir şekilde fotoğraflanmıştır. Yapı üzerinde görülen spiral halkalar (taenidia), borunun esnekliğini ve dayanıklılığını sağlayan kitin takviyeleridir. Bu gözlem, böceklerde dolaşım sıvısının (hemolenf) solunum gazlarını taşımadığını, solunumun trakeal sistem üzerinden bağımsız bir ağ ile yürütüldüğünü anatomik olarak doğrulamaktadır.

Yapılan mikroskobik analizlerde, hemolenf sıvısı içerisinde serbest yüzen hemositlerin yanı sıra, diseksiyon esnasında ayrılan trakeal sistem parçaları da detaylıca incelenmiştir.
Kanat yapıları ve Alae:

Kanat Mikro-Yapısı:
Alae incelemesinde, kanat membranını destekleyen ana damar hattı 1600x büyütmede karakterize edilmiştir. Damarın, kanadın diğer bölgelerine kıyasla daha yoğun bir kitin tabakasına sahip olduğu ve yapısal bir omurga görevi gördüğü saptanmıştır. Bu damarların etrafındaki koyuluk, o bölgede kitin birikiminin daha fazla olduğunu gösterir. Zar yüzeyindeki granüllü yapı, kanadın hidrofobik (su itici) özelliklerine işaret etmektedir.

Alae'nin yüzey membranı 1600x büyütmede karakterize edilmiştir. Yapılan detaylı incelemede, kanat yüzeyinin binlerce, muntazam dizilmiş mikro-tüy (microtrichia) ile kaplı olduğu saptanmıştır. Bu yoğun tüy yapısının, un kurdu böceğinin uçuş esnasında aerodinamik performansını artırdığı ve kanadın su tutmamasını (hidrofobik) sağladığı değerlendirilmektedir.

Anten Anatomisi (Duyusal Analiz):
Baş bölgesinden alınan kesitte, karakteristik moniliform anten yapısı gözlemlenmiştir. Toplam 11 segmentten oluşan bu yapının, canlının çevresindeki kimyasal uyaranları (besin kokusu, feromonlar) ve fiziksel engelleri algılamasında temel rol oynadığı bilinmektedir. Yoğun kitin yapısı, antenin dış etkilere karşı dayanıklılığını artırırken, boğumlu yapısı maksimum hareket kabiliyeti sunmaktadır.
5-Teknik bilgiler ve rehberin amacı.
Bu bilimsel inceleme, hobi ve laboratuvar dünyasının temel canlılarından biri olan Un Kurdu Böceği’nin (ergin evre) çıplak gözle görülemeyen biyolojik sırlarını açığa çıkarmak amacıyla hazırlanmıştır. Çalışmanın ana odağı, canlının makro düzeydeki sert ve dayanıklı görüntüsünün altında yatan, 1600x büyütmeye kadar ulaşan mikroskobik doku bütünlüğünü belgelemektir.
Analizler sırasında canlının sırt tarafı (Dorsal) ve karın tarafı (Ventral) baz alınarak yön tayini yapılmıştır. Çalışmanın temelinde ortaya çıkan bulgularda ve görülen yapılardan dolayı yapılabilecek çıkarımlar şunlardır:
Trakeal Solunum Stratejisi:
Mikroskop altında karakteristik spiral halkalarıyla (taenidia) gözlemlenen trake boruları, böceğin aktif bir solunum sistemine sahip olduğunu kanıtlar. Bu yapısal destek, oksijenin hemolenf sıvısından bağımsız olarak doğrudan dokulara taşınmasını sağlar.
Kanat Mühendisliği ve Hidrofobik Yüzey:
Alae (arka kanat) üzerinde saptanan yoğun mikro-tüy (microtrichia) dizilimi, canlının sadece uçuş aerodinamiğini değil, aynı zamanda hidrofobik bir yüzey geliştirdiğini gösterir. Bu mikroskobik mimari, kanatların nemden dolayı ağırlaşmasını önleyen evrimsel bir adaptasyondur.
Hemolenf Dinamiği ve Bağışıklık:
Sıvı içerisinde gözlemlenen ve havayla temas sonrası yoğunlaşan koyu bölgeler, böceğin melanizasyon (melanin pigmentinin fazlaca birikmesi sonucu oluşan siyahlaşma) kapasitesini ortaya koyar. Bu durum, hemolenfin sadece bir besin taşıyıcı değil, aynı zamanda yaralanmalara karşı hızla pıhtılaşan ve patojenleri hapseden aktif bir savunma mekanizması olduğunu doğrular.
Rehbere eklenmeyen ve tanımlanamayan hemolenf sıvıları:




Not: Bu yapılarda görülen bazı yuvarlak yapılar hava kabarcıklarıdır.
Bu rehberin, hem hobiye yeni başlayanlar hem de böcek anatomisine ilgi duyan forum üyeleri için faydalı bir kaynak olmasını umuyorum. Vakit ayırıp incelediğiniz için teşekkür eder, keyifli gözlemler dilerim...
KAYNAKÇA:
Çekimler bizzat tarafıma ait olup bilgiler kaynaklardan toplanmıştır.
![]()
Anatomy: Head, Thorax, Abdomen, and Genitalia
This chapter focuses on the anatomical structures of the three major tagmata of the insect body: head, thorax, and abdomen, and on the external genita…www.sciencedirect.com
![]()
Antennae
This chapter discusses antennae in insects. Antennae are segmented appendages that function primarily in chemoreception and mechanoreception. The over…www.sciencedirect.com
![]()
Digestive System
This chapter discusses digestive system of organisms. The digestive system consists of the alimentary canal (gut) and salivary glands and is responsib…www.sciencedirect.com
![]()
Flight
This chapter discusses flight behavior of insects. Many important behavioral features of insects, including dispersal, reproductive strategies, and ev…www.sciencedirect.com
![]()
Hemolymph
This chapter discusses hemolymph, which is the circulating fluid or “blood” of insects. Insect hemolymph differs substantially from vertebrate blood, …www.sciencedirect.com
![]()
Mealworm - Wikipedia
en.wikipedia.org
![]()
Morphogenesis of the wing Anlagen in the mealworm beetle tenebrio molitor during the last larval instar - PubMed
The wing Anlagen of Tenebrio develop from epidermal cells located on the lateral margins of meso- and metathoraces. Three to four days after larval ecdysis, these cells start to proliferate slowly, continuing to do so until day 13 which corresponds to the period of the pupal commitment of the...pubmed.ncbi.nlm.nih.gov
Ekli dosyalar
Moderatör tarafında düzenlendi: